中野区の歯科「沼崎歯科医院」TOP > 歯周病菌と歯周病の種類
歯周病菌と歯周病の種類
歯周病菌と種類
歯周病菌
歯周病をひき起こす細菌は、
P.g.菌(Porphyromonas gingivalis)
T.f.菌(Tannerella forsythensis)
Td.菌(Treponema denticola)
P.i.菌(Prevotella intermedia)
A.a.菌(Aggregatibacter actinomycetemcomitans)
など10種類以上がわかっています。
P.g.菌、T.f.菌、Td.菌は歯周病が進行している人々のほぼ60~70%から発見される菌です。これらはよく同時にみつかります。
A.a.菌は非常に少ないタイプです。とくに日本人でこの菌を保有しているケースは稀だといわれますが、もしこの菌により若年時から歯周病にかかると非常に危険です。
P.i.菌は一般的で誰もがもっている菌ですが、口腔を不潔にするだけで、歯周病を引き起こす原因になります。思春期や妊娠期にもこの菌が増加し歯周病をおこします。
歯周病菌は、組織に定着しやすい性質をもち、生体の攻撃をかわす力をもっています。さらに直接、間接的に組織を破壊する毒素や酵素をもっていることで歯周病をひき起こします。
Porphyromonas gingivalis(P.g.菌)
Porphyromonas gingivalis(P.g.菌)は表面に線毛という構造をもち、歯肉組織にくっついてきます。菌体の表層には莢膜という層があり白血球の貪食に抵抗すると考えられています。表層にはタンパク分解酵素があり、宿主組織の破壊、さらに免疫担当細胞のコミュニケーションのために働くサイトカインを分解することによる免疫撹乱作用があります。さらにこの菌の持つ内毒素は、歯槽骨吸収をひき起こします。
Treponema denticola(Td.菌)
Treponema denticola(Td.菌)はらせん状の運動性菌で表層に歯周組織へ定着するタンパクを持っています。またタンパク分解酵素により組織を障害すると考えられています。
Aggregatibacter actinomycetemcomitans(A.a.菌)
Aggregatibacter actinomycetemcomitans(A.a.菌)はせん毛をもち歯肉組織にくっつきます。白血球毒をもち白血球の働きを低下させてしまい、貪食しようとしてくる防御細胞から身を守り、内毒素やその他の毒素により歯周組織を障害します。この菌は歯肉組織の中にまで侵入するといわれ、Aa菌が存在するとうまく治療効果が現われません。非常に恐ろしい細菌です。
歯周病の種類
歯肉炎

歯と歯ぐきの境目(以下歯周ポケット)に付着したプラークにより、歯肉に炎症が引き起こされた状態です。歯を支えている骨(あごの骨)までは炎症がおよんでいないため骨の変化はありません。放置するとやがて歯周炎(骨の吸収が起こった状態)に移行します。
この段階であれば、比較的短期間の治療で健康な歯と歯ぐきの状態を取り戻せます。
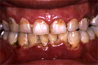
慢性歯周炎

歯肉炎が進行すると歯周炎になります。炎症は歯ぐきだけでなくセメント質、歯槽骨、歯根膜組織まで広がります。進行してもほとんど自覚症状がなく、重度になって「歯ぐきの腫れ」「歯のグラつき」「ブラッシング時の出血」、あるいは咬んだときの痛みなど、様々な症状が現れてようやくご自身で認識するケースがほとんどです。この段階の歯周炎は、ゆっくりと進行しますが痛みを感じてから数時間後に腫れるような場合は、急速に骨の吸収が起こります。痛みを感じたら、早急な処置が必要です。なるべく早くご来院ください。
侵襲性歯周炎
急速なあごの骨の破壊が始まります。第一大臼歯と前歯付近に著しい骨の破壊が起こり、周囲の歯にも影響をおよぼす場合もあります。
原因は遺伝的要素、免疫機能、白血球機能低下、そしてA.a.菌やP.g.菌の特別な細菌による感染が考えられます。主に思春期から30才までの方が多く発症します。

壊死性歯周疾患

壊死性潰瘍性歯肉炎(NUG)
歯肉乳頭部にみられる歯ぐきの壊死と歯肉出血、疼痛を特徴とする穿孔性の感染症です。強い口臭と偽膜形成もみられ、P.i.菌、Td.菌が関与しています。精神的ストレス、低栄養、喫煙、HIV感染が発症に関連しているといわれています。
壊死性潰瘍性歯周炎(NUP)
NUGが進行すると、感染が付着組織にまで波及し、歯肉組織、歯根膜、あごの骨の壊死を招きます。HIV感染をはじめ、重症の栄養不良、免疫抑制を含む、全身的状態を有する場合に多くみられるものです。







